Logo
منذ 4 سنوات   نشر في  ٢٠٢١/٠٧/٢٨ م
الفرمونات Pheromones
ببتيدات قصيرة السلسلة تفرز من قبل الخلايا المستلمة (عند إجراء عمليات الاقتران في البكتريا) وهذه الببتيدات تؤدي إلى تحفيز الخلايا الواهبة أن تخلق على سطوحها مكونات لاصقة تؤدي إلى الالتصاق بين الخلايا الواهبة والمستلمة وبذلك يتم حقن Plasmid DNA.والفرمونات في الأحياء الأخرى تكون بمثابة مواد كيماوية تفرز لإعطاء الإشارة إلى أحياء عادة تكون من النوع نفسه ، وتلعب دوراً مهما في الحياة الاجتماعية للحيوانات خاصة الحشرات واللبائن ، وفي هذه الأحياء تكون بمثابة حوامض عضوية متطايرة…
قراءة كامل الموضوع read more
7 + 6 =
منذ 4 سنوات   نشر في  ٢٠٢١/٠٧/٢٧ م
عامل النخر الورمي TNF) Tumor Necrosis Factor) احد السايتوكينات او محركات الخلايا متعددة الوظائف ويسمى TNFα او Cachexin او Cachectin ، ويؤثر في عدد من العمليات مثل ايض الدهون والتخثر ومقاومة الانسولين ووظائف الخلايا الطلائية التي تبطن الاوعية الدموية . وهو بروتين ينتج بشكل رئيس من الخلايا Monocytes , Macrophages وكذلك ينتج من الخلايا الصارية Mast Cells والخلايا القاتلة الطبيعية Natural Killer Cells وغيرها من خلايا الجهاز المناعي استجابة لبعض السموم الداخلية Endotoxins ويؤدي الى حدوث الالتهابات .
قراءة كامل الموضوع read more
1 + 5 =
منذ 4 سنوات   نشر في  ٢٠٢١/٠٧/٢١ م
ايونات المعادن والاحياء المجهرية :
تعد من المواد القاتلة Biocides اذ توجد علاقة ما بين هذه الايونات و الاحياء المجهرية. فأيونات الزئبق ++Hg والفضة + Ag تكون قاتلة للأحياء المجهرية وذلك بتداخلها القوي مع مجاميع الثايول في الانزيمات والبروتينات الخلوية ولكن قد يكون هذا قابلا للرجوع.
قراءة كامل الموضوع read more
8 + 1 =
منذ 4 سنوات   نشر في  ٢٠٢١/٠٧/٢٠ م
اللقاحات الوقائية Vaccines
عالق من خلايا بكتيرية أو فيروسات مضعفة أو أجزاء منها ولها وزن جزيئي أكبر من 5000 دالتون تحقن في أجسام الحيوانات لغرض توليد المناعة الفعالة ضدها ، وفي حالة كون الجزء المحقون أقل من الوزن الجزيئي المذكور فتحمل على مواد مساعدة Adjuvants لأن الجهاز المناعي عادة لا يتحفز للمواد الصغيرة الوزن الجزيئي.
قراءة كامل الموضوع read more
6 + 6 =
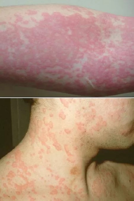
منذ 4 سنوات   نشر في  ٢٠٢١/٠٧/١٩ م
الشرى Urticaria
من الأعراض الجلدية المهمة المرافقة للحساسية الغذائية وهو المسمى بشرى الحساسية . وللشرى أسباب متعددة وفي بعض الأحيان تكون غير معروفة الا ان علاقتها بالحساسية الغذائية وثيقة . ومن الأغذية المسببة للشرى حليب الأبقار والبيض وبعض الأحيان الخبز .تشترك أكثر من آلية في إظهار الشرى منها تفاعلات IgE ضمن النوع الأول للحساسية بالإضافة الى توسط الخلايا في تطور الحالة المرضية .
قراءة كامل الموضوع read more
7 + 2 =
منذ 4 سنوات   نشر في  ٢٠٢١/٠٧/١٨ م
الفيروسات العجلية Rotaviruses
مجموعة من الفيروسات يكون جينومها من dsRNA ،تعود الى العائلة Reoviridae البعض منها يسبب التهاب الامعاء الحاد في الانسان بالدخول عن طريق الفم ، وهي اكثر مسببات الاسهال في الاطفال الاقل من 5 سنوات عالميا ، وتسبب وفاة اعداد كبيرة سنويا في جميع انحاء العالم . سميت بهذا الاسم لان تركيبها يشبه العجلة . تكون مقاومة للظروف البيئية وتبقى لمدة اسابيع الى اشهر . تصيب الابقار والقرود ولكن هذه تكون مختلفة وراثيا عن تلك التي تصيب الانسان
قراءة كامل الموضوع read more
7 + 1 =
منذ 4 سنوات   نشر في  ٢٠٢١/٠٧/١٦ م
الفيروسات العجلية Rotaviruses
مجموعة من الفيروسات يكون جينومها من dsRNA ،تعود الى العائلة Reoviridae البعض منها يسبب التهاب الامعاء الحاد في الانسان بالدخول عن طريق الفم ، وهي اكثر مسببات الاسهال في الاطفال الاقل من 5 سنوات عالميا ، وتسبب وفاة اعداد كبيرة سنويا في جميع انحاء العالم . سميت بهذا الاسم لان تركيبها يشبه العجلة . تكون مقاومة للظروف البيئية وتبقى لمدة اسابيع الى اشهر . تصيب الابقار والقرود ولكن هذه تكون مختلفة وراثيا عن تلك التي تصيب الانسان
قراءة كامل الموضوع read more
7 + 8 =
منذ 4 سنوات   نشر في  ٢٠٢١/٠٧/١٥ م
الغدة جار الدرقية The Parathyroid gland
تتواجد الغدة جار الدرقية في معظم الثدييات والزواحف. تقع بجوار الغدة الدرقية على هيئة زوجين من الغدد (زوج في كل جانب من القصبة الهوائية). تفرز هذه الغدة هرمون جار الدرقية Parathyroid Hormone, PTH. وهو هرمون بروتيني يقوم بتنظيم مستوى الكالسيوم في الدم. عندما ينخفض تركيز الكالسيوم في الدم، يزداد افراز الهرمون لاستخلاص المزيد من الكالسيوم من العظام، ويزيد من اعادة امتصاص الكالسيوم من النيفرون والتخلص من الفوسفور في البول .
قراءة كامل الموضوع read more
9 + 5 =
منذ 4 سنوات   نشر في  ٢٠٢١/٠٧/١٤ م
متلازمة ريت Rett Syndrome
اضطراب وراثي نادر يؤثر في طريقة تطور الدماغ وهو احد ظواهر التوحد Autism ، ويحدث كثيرا في الاناث اي انه مرتبط بكروموسوم الجنس X Chromosome ، في بداية العمر يكون الاطفال طبعيين ولكن تظهر الاعراض بعد 6 اشهر – 18 شهر الاولى ، وتبدأ بعد ذلك الاضطرابات العقلية والاجتماعية ويكون احد اهم اسباب التخلف العقلي.
قراءة كامل الموضوع read more
5 + 4 =
منذ 4 سنوات   نشر في  ٢٠٢١/٠٧/١٢ م
يلاحظ ان كرات الدم المعطاة هي التي تتلزن بواسطة الاجسام المضادة للمستقبل ولذلك فقد وجد ان الفصيلة O يمكن النقل منها لاي شخص بدون ان يحدث تلزن لكرات الدم وذلك لان كرات الدم لا تحمل اجسام مضادة يمكن ان تتفاعل مع الاجسام المضادة للمستقبل أي المريض ولذا يسمى فصيلة O معطى عام .
5 + 4 =
منذ 4 سنوات   نشر في  ٢٠٢١/٠٧/١٠ م
نظرية الخلق الذاتي Spontaneous Generation
تعد هذه النظرية من اقدم النظريات التي ناقشت اصل الحياة. وتنص هذه النظرية على ( ان الحياة تظهر باستمرار من اشياء غير حية). وان اول من جاء بهذه النظرية هو ارسطوطاليس وعلىه فإن ديدان اللحم تنشأ من اللحم وديدان الارض من التربة. أوضح العالم فرسكو ريدي ان الديدان التي تنشأ من اللحم المتفسخ تتولد عندما تضع الحشرات البالغة بيوضها في ذلك اللحم ، وقد ايد عدد من الباحثين هذه النتائج وتوصلوا إلى استنتاجات كان لها الاثر في القضاء على نظرية الخلق الذاتي .
قراءة كامل الموضوع read more
5 + 1 =
منذ 4 سنوات   نشر في  ٢٠٢١/٠٧/٠٩ م
التسمية العلمية Scientific Nomenclature
يلاحظ ان في كل بلدان العالم هناك اسماء محلية Local names للكائنات الحية وهي بلغة ذلك البلد ، لا بل يتعدى ذلك باعطاء اكثر من اسم محلي للكائن الحي الواحد في نفس البلد. فعلى سبيل المتبال يطلق اسم الدجاجة في جنوب العراق وجاجة في الوسط وجيجي في الشمال ، في حين يطلق اسم فرخة في مصر. مما تقدم توصل علماء التصنيف الى التسمية العلمية لكل كائن حي بحيث تكون موحدة في كل انحاء العالم ولا تتغير باختلاف اللغة.
قراءة كامل الموضوع read more
3 + 2 =