Logo
منذ 10 شهور   نشر في  ٢٠٢٥/٠٢/٢٥ م
يمرّ الدواءُ عبرَ جدار الأمعاء، ويسير إلى الكبد قبلَ نقله عبر مجرى الدَّم إلى موقعه المستهدَف, يقوم جدار الأمعاء والكبد بتغيير كيميائي (استقلاب) للعَديد من الأدوية، مما يُقلِّل من كمية الدَّواء التي تصل إلى مجرى الدم.وبذلك، غالبًا ما تُعطَى هذه الأدوية بجرعاتٍ صغيرة عند حقنها عن طريق الوريد لإنتاج نفس التأثير.
قراءة كامل الموضوع read more
2 + 3 =
منذ 10 شهور   نشر في  ٢٠٢٥/٠٢/٢٤ م
هرمون النمو سوماتروبين (Somatropin)، يتم انتاجه في الغدة النخامية, لدى الأطفال والمراهقين يحفز هذا الهرمون النمو والتطور الطبيعي للجسم. إذا لم يتم إنتاج هذا الهرمون بكميات كافية، يحدث تباطؤ في النمو، مما يؤدي إلى قصر القامة، أقل من الحد الأدنى للطول الطبيعي.
5 + 4 =
منذ 10 شهور   نشر في  ٢٠٢٥/٠٢/٢٣ م
ترتفع إنزيمات أو بروتينات القلب في الدم بعدما يتعرض القلب لنوبات قلبية وبشكل خاص إنزيم التروبونين، وكذلك يشير معدل ارتفاعه إلى مدى تضرر القلب من النوبة القلبية، ويجب الأخذ في الاعتبار أن إجراء التحاليل الطبية بعد مرور فترة قصيرة من الإصابة لا تُظهر نتائج دقيقة، إذ يزداد معدلات انزيمات القلب بعد مرور حوالي من 4 إلى 9 ساعات بعد النوبة ولكن قد يوجد في نتائج التحاليل تروبونين عالي الحساسية قبل مرور هذه الفترة.
قراءة كامل الموضوع read more
8 + 2 =
منذ 10 شهور   نشر في  ٢٠٢٥/٠٢/٢٢ م
يلعب نظام الغدد الصماء دورا مهما وأساسيا في تنظيم المزاج والنمو والتطور ووظيفة الأنسجة والتمثيل الغذائي والوظيفة الجنسية والإنجاب , وتفرز الغدد الصماء الهرمونات، وهي رسل كيميائية للجسم ، إذ تنقل الهرمونات معلومات وتعليمات من مجموعة خلايا إلى أخرى , وبالرغم من أن العديد من الهرمونات المختلفة تنتشر في مجرى الدم، فإن كل واحدة منها تؤثر فقط على الخلايا المبرمجة جينياً لتلقي رسالتها والاستجابة لها .
قراءة كامل الموضوع read more
1 + 9 =
منذ 10 شهور   نشر في  ٢٠٢٥/٠٢/٢٠ م
أي ارتفاع في مستويات أنزيم ALT قد يكون سببه ما يأتي: الإصابة بورم في الكبد، أو تليف الكبد، أو التهاب الكبد الوبائي. نقص في كمية الدم التي تصل الكبد. الإصابة بمرض السكري.
9 + 5 =
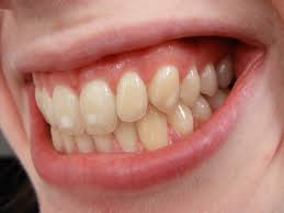
منذ 10 شهور   نشر في  ٢٠٢٥/٠٢/١٩ م
يمكن أن يؤدي التعرض لتراكيز عالية من الفلورايد خلال مرحلة الطفولة أثناء نمو الأسنان إلى حدوث تسمم الأسنان الطفيف بالفلور، وقد لا تؤثر هذه الحالة على صحة الأسنان ولكنها تسبب ظهور بقع أو خطوط بيضاء في الأسنان.
9 + 6 =
منذ 10 شهور   نشر في  ٢٠٢٥/٠٢/١٨ م
يساعد فيتامين C في دعم صحة الدماغ بسبب نشاطه المضاد للأكسدة فهو من أبرز الفيتامينات للدماغ حيث أن فيتامين C يُعد عاملًا مهمًا في عملية الأكسدة والاختزال في الجهاز العصبي المركزي، ويربط بين الإمداد الغذائي غير الكافي لفيتامين C والآثار السلبية على الأداء الإدراكي.
2 + 7 =
منذ 10 شهور   نشر في  ٢٠٢٥/٠٢/١٧ م
هرمون النمو : هو هرمون يفرز بشكل طبيعي داخل الجسم من الغدة النخامية وهي غدة صغيرة بالمخ، حيث يعزز هذا الهرمون نمو الجسم من الطفولة إلى البلوغ، كما أنه يساعد في الحفاظ على بنية الجسم الطبيعية لدى البالغين، ويلعب دورًا في عملية التمثيل الغذائي لدى كلٍّ من الأطفال والبالغين.تكون مستويات هرمون النمو أعلى عند الأطفال والمراهقين، ولكنها تنخفض مع التقدُّم بالعمر، ومن أهم محفزات إفراز هرمون النمو بشكل طبيعي داخل الجسم، أخذ قسطٍ كافٍ من النوم، وتقليل التوتر كما أنه يزداد إفرازه في الليل مقارنه بالنهار.
قراءة كامل الموضوع read more
9 + 5 =
منذ 10 شهور   نشر في  ٢٠٢٥/٠٢/١٦ م
هرمون TSH هو الهرمون المنشط للغدة الدرقية، ويتم إفرازه من الغدة النخامية الموجودة في الدماغ لتنشيط وتحفيز الغدة الدرقية على إفراز هرمون الثيروكسين (Thyroxine) للقيام بالوظائف المتعددة في الجسم.
8 + 7 =
منذ 10 شهور   نشر في  ٢٠٢٥/٠٢/١٥ م
تنطوي أعراض نقص النحاس على التعب والضعف الناجم عن انخفاض عدد خلايا الدم الحمراء (فقر الدم) وفي بعض الأحيان زيادة خطر العدوى بسبب انخفاض عدد خلايا الدم البيضاء. وفي بعض الأحيان، تحدث هشاشة أو تخلخل العظام، أو يحدث ضرر في الأعصاب.
8 + 7 =
منذ 10 شهور   نشر في  ٢٠٢٥/٠٢/١٣ م
الغدة النخامية هي عضو صغير بحجم حبة البازلاء وتقع خلف الأنف في قاعدة الدماغ. ورغم صغر حجم الغدة النخامية، فإنها تؤثر على كل عضو في الجسم تقريبًا. وتساعد الهرمونات التي تفرزها على التحكم في الوظائف المهمة في الجسم، مثل النمو وضغط الدم وعملية التكاثر.
1 + 8 =
منذ 10 شهور   نشر في  ٢٠٢٥/٠٢/١٢ م
يمكن أن تؤدي المستويات المنخفضة من الزنك إلى ضعف جودة النوم، أو صعوبة النوم، أو الاستيقاظ بشكل متكرر أثناء الليل
7 + 7 =