Thymus
المؤلف:
Kuehnel, W
المصدر:
Color Atlas of Cytology, Histology, and Microscopic Anatomy
الجزء والصفحة:
19-1-2017
3009
Thymus
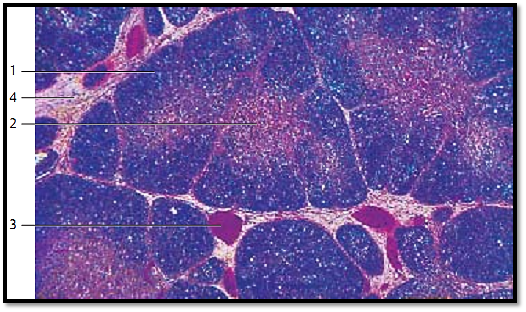
The thymus is derived from the pharyngeal pouch. In relationship with other lymphatic organs, it takes a central, superordinate place. In a histological cross-section, the infantile thymus is seemingly built of lobes. Each lobule consists of a corte x 1 (stained blue-violet), which is rich in lymphocytes, and the medulla (stained lighter and reddish) with lower cell density 2 . Vascularized connective tissue 3 , 4 fills the spaces between lobules. It also pushes into the organ, up to the border between cortex and medulla, forming septa (trabeculae). Meshwork s of reticulum cells (epithelial reticulum cells, lymphoepithelial organ ), not fibers, form the supportive structures for cortex and medulla. The reticular cells have arisen from entodermal epithelium. Small lymphocytes (T-lymphocytes) pre dominate underneath the cortex. The medulla contains mostly lymphoblasts, lymphocytes and epithelial reticulum cells. The thymus also contains mast cells, macrophages and interdigitating dendritic cells. The literature of ten describes six different types of epithelial cells. Lymph follicles with germinal centers do not exist in the thymus.
1 Cortex
2 Medulla
3 Blood vessels
4 Connective tissue
Stain: alum hematoxylin-eosin; magnification: × 10

Thymus
Higher magnification of a thymus lobule with heavily stained cortex 1 and lighter stained medulla 2 . Mature T-lymphocytes are densely packed in the cortex. They are much less dense in the medulla. On the right, the figure shows the vascularized connective tissue capsule 3. The medulla contains Hassall corpuscles 4.
1 Cortex
2 Medulla
3 Capsule
4 Hassall corpuscles (bodies)
Stain: alum hematoxylin-eosin; magnification: × 80

Thymus
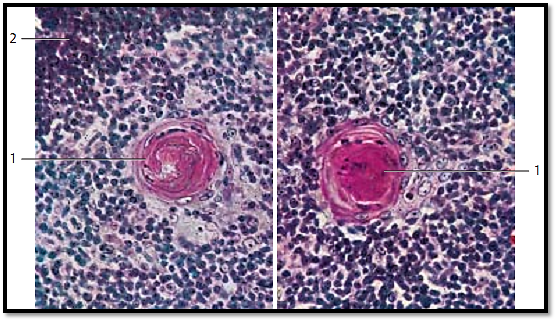
Large Hassall corpuscle 1 in the medullary thymus from a child. The figure shows the concentric layering of the reticulum cells particularly well. Note the somewhat larger epithelial reticulum cells in the medulla which interconnect via their cell processes and form a meshwork . There are fewer lymphocytes in that area. The sectioned blood vessels 2 are filled with erythrocytes. The thymus is equipped with a blood-thymus barrier , which is restricted to the cortex.
1 Hassall corpuscle
2 Capillary
Stain: alum hematoxylin-eosin; magnification: × 400

Thymus
Hassall corpuscles 2 are characteristic elements of the thymus medulla. They consist of several concentric layers of reticulum cells in an arrangement reminiscent of an onion. The reticulum cells of ten show hyaline degeneration. Therefore, they occasionally look homogeneous and stain intensely with eosin. Cysts may form as well. A remarkably enlarged epithelial reticulum cell usually occupies the center of the Hassall corpuscle. Medulla cells form a layer around this center. The diameter of Hassall corpuscles is 20–50 0 μm. Their function is unknown. They may arise from ectodermal tissue because analytical data show prekeratin and keratin in their cells, similar to the cells of the epidermis. Several epithelial thymus cells biosynthesize substances, which presumably have hormone character. Known, well-defined substances are thymosin , thymopoietin and thymulin , among others.
1 Hassall corpuscle
2 Cortex
Stain: alum hematoxylin-eosin; magnification: × 240

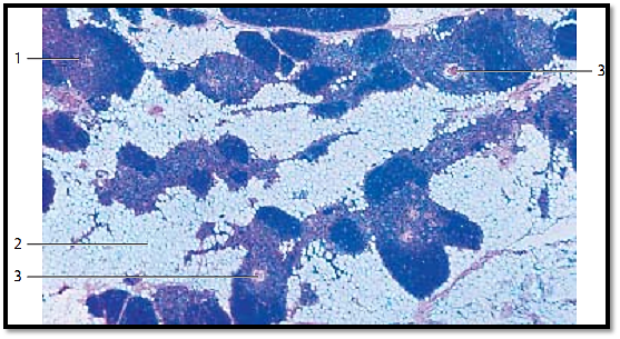
Thymus
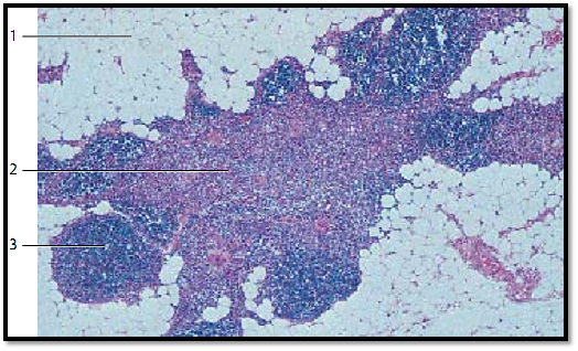
The specific thymus tissue organization slowly disappears in puberty (puberty involution). In the adult thymus, lobules are no longer present. Then the fatty involution ensues (age involution ), which initially affects the cortex more than the medulla. Finally, the residual thymus organ consists mainly of degenerated medullary tissue strands. Note the enormous increase in adipose tissue 1.
1 Adipose tissue
2 Medulla with Hassall corpuscle
3 Residual cortex tissue
Stain: alum hematoxylin-eosin; magnification: × 30

Thymus
Physiological changes in the course of human aging lead to almost complete degeneration of the thymus (age involution). In the process, the cortex 1 becomes deplete of lymphocytes. The strands of tissue in the medulla become smaller and reticular connective tissue invades from the outside, to be replace d by adipose tissue 2 . The result of this involution process is a residual thymus with mostly adipose tissue (adipose thymus organ ). At this stage, only scarce remnants of the specific organ tissue are left.
1 Residual thymus, cortex
2 Adipose tissue
3 Hassall corpuscles
Stain: alum hematoxylin-eosin; magnification: × 10

References
Kuehnel, W.(2003). Color Atlas of Cytology, Histology, and Microscopic Anatomy. 4th edition . Institute of Anatomy Universitätzu Luebeck Luebeck, Germany . Thieme Stuttgart · New York .
الاكثر قراءة في علم الخلية
اخر الاخبار
اخبار العتبة العباسية المقدسة