Cell Storage Products-Crystals
المؤلف:
AN INTRODUCTION TO PLANT BIOLOGY-1998
المصدر:
JAMES D. MAUSETH
الجزء والصفحة:
23-10-2016
2699
Cell Storage Products—Crystals
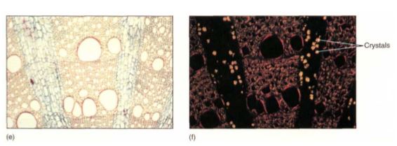
Many plants contain numerous crystals; the most common crystalline compound is calcium oxalate, which often forms round masses of angular crystals. We are not certain what role calcium oxalate crystals play in the biology of plants, but two hypotheses have been suggested which could both be correct. One hypothesis postulates that the crystals are a means of reducing the amount of calcium ion (Ca2+) in the cytoplasm. Calcium regulates the activity of many enzymes, activating some as its concentration increases and inactivating others. Consequently, it is important for the amount of free calcium to be controlled carefully. By combining calcium with oxalic acid and forming a crystal, an atom of calcium is inactivated as far as any enzyme is concerned. The second hypothesis postulates that the presence of crystals makes plant tissues unpalatable for animals to eat. Consequently, tissues that have crystals are protected from feeding animals. If this hypothesis is a good model of reality, we would expect to find crystals particularly abundant in important tissues. The accompanying illustrations are micrographs of some tissues that are consistent with the second hypothesis. In each, crystals occur predominantly near tissues that might be the target of insect feeding. The micrographs on the left of each pair were made with ordinary light; those on the right used polarized light to reveal crystals more clearly.

(a) A leaf clearing of maidenhair tree (Ginkgo), showing several red-stained leaf veins that conduct sugars out of the leaf. Such veins are the targets of aphids and other sucking insects (X 15). (b) The same tissue, in polarized light (X 15).

(c) A midrib, the large vein that runs down the center of a leaf. No crystals are visible with ordinary light (X 50).
(d) Polarized light shows crystals to be abundant in the sugar-conducting tissue. The reddish cells above conduct water; they are free of crystals, but insects do not often attack this type of tissue (X 150).

(e) A cross-section of Aristolochia wood; crystals are present in the two bands of tissue with blue-stained walls (see (f)). This is a soft tissue in wood and is the site where sugars and other nutrients are stored (X 50).
(f) The same tissue as (e), but with polarized light (X 50).
الاكثر قراءة في مواضيع عامة في علم النبات
اخر الاخبار
اخبار العتبة العباسية المقدسة