

النبات

مواضيع عامة في علم النبات

الجذور - السيقان - الأوراق

النباتات الوعائية واللاوعائية

البذور (مغطاة البذور - عاريات البذور)

الطحالب

النباتات الطبية


الحيوان

مواضيع عامة في علم الحيوان

علم التشريح

التنوع الإحيائي

البايلوجيا الخلوية


الأحياء المجهرية

البكتيريا

الفطريات

الطفيليات

الفايروسات


علم الأمراض

الاورام

الامراض الوراثية

الامراض المناعية

الامراض المدارية

اضطرابات الدورة الدموية

مواضيع عامة في علم الامراض

الحشرات


التقانة الإحيائية

مواضيع عامة في التقانة الإحيائية


التقنية الحيوية المكروبية

التقنية الحيوية والميكروبات

الفعاليات الحيوية

وراثة الاحياء المجهرية

تصنيف الاحياء المجهرية

الاحياء المجهرية في الطبيعة

أيض الاجهاد

التقنية الحيوية والبيئة

التقنية الحيوية والطب

التقنية الحيوية والزراعة

التقنية الحيوية والصناعة

التقنية الحيوية والطاقة

البحار والطحالب الصغيرة

عزل البروتين

هندسة الجينات


التقنية الحياتية النانوية

مفاهيم التقنية الحيوية النانوية

التراكيب النانوية والمجاهر المستخدمة في رؤيتها

تصنيع وتخليق المواد النانوية

تطبيقات التقنية النانوية والحيوية النانوية

الرقائق والمتحسسات الحيوية

المصفوفات المجهرية وحاسوب الدنا

اللقاحات

البيئة والتلوث


علم الأجنة

اعضاء التكاثر وتشكل الاعراس

الاخصاب

التشطر

العصيبة وتشكل الجسيدات

تشكل اللواحق الجنينية

تكون المعيدة وظهور الطبقات الجنينية

مقدمة لعلم الاجنة


الأحياء الجزيئي

مواضيع عامة في الاحياء الجزيئي


علم وظائف الأعضاء


الغدد

مواضيع عامة في الغدد

الغدد الصم و هرموناتها

الجسم تحت السريري

الغدة النخامية

الغدة الكظرية

الغدة التناسلية

الغدة الدرقية والجار الدرقية

الغدة البنكرياسية

الغدة الصنوبرية

مواضيع عامة في علم وظائف الاعضاء

الخلية الحيوانية

الجهاز العصبي

أعضاء الحس

الجهاز العضلي

السوائل الجسمية

الجهاز الدوري والليمف

الجهاز التنفسي

الجهاز الهضمي

الجهاز البولي


المضادات الميكروبية

مواضيع عامة في المضادات الميكروبية

مضادات البكتيريا

مضادات الفطريات

مضادات الطفيليات

مضادات الفايروسات

علم الخلية

الوراثة

الأحياء العامة

المناعة

التحليلات المرضية

الكيمياء الحيوية

مواضيع متنوعة أخرى

الانزيمات
الاسقربوط Scurvy
المؤلف:
د.زهرة محمود الخفاجي
المصدر:
موسوعة الحياة
الجزء والصفحة:
7-1-2020
1670
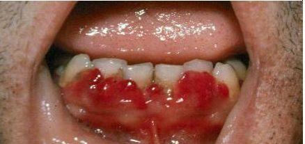
الاسقربوط Scurvy
اضطراب ينتج من نقص فيتامينAscorbic Acid) C) ، اعراضه ظهور نزف تحت الجلد قرب العضلات وكذلك في اللثة ، وفي الاطفال يظهر تشوه في العظام . يعالج بتناول الاغذية الحاوية على مستويات عالية من الفيتامين او استعمال المدعمات الغذائية لان الانسان لا يستطيع تخليق الفيتامين ، والمرض معروف من زمن الفراعنة .
يعمل الفيتامين في تفاعلات Amidation و Hydroxylation ويكون مساعد انزيمي لكل من Prolyl -hydroxylase و Lysyl- hydroxylase الضرورية في تخليق وتثبيت الكولاجين بتكوين Cross-Linking ونقصان هذه الفعالية يؤدي الى اضطراب التئام الجروح وكذلك يؤثر في بناء العظام لكون الكولاجين احد مكوناتها ويؤثر في امتصاص الحديد . تبدأ اعراضه بتعب واعياء ونقصان الشهية وفقدان في الوزن واسهال وسرعة في التنفس وحمى وتحسس وتشوه في الارجل ، وارورام على العظام الطويلة ونزف وربما الشلل ، يفحص بقياس مستوى الفيتامين في مصل الدم .

الاكثر قراءة في مواضيع عامة في علم الامراض
اخر الاخبار
اخبار العتبة العباسية المقدسة
الآخبار الصحية

قسم الشؤون الفكرية يصدر كتاباً يوثق تاريخ السدانة في العتبة العباسية المقدسة
"المهمة".. إصدار قصصي يوثّق القصص الفائزة في مسابقة فتوى الدفاع المقدسة للقصة القصيرة
(نوافذ).. إصدار أدبي يوثق القصص الفائزة في مسابقة الإمام العسكري (عليه السلام)